15
nových článků - klikněte pro zobrazení

Refresher.sk

Popis:

Refresher.sk - novinky zo sveta hudobnej sceny v predstihu, modne trendy, lifestyle, technika, filmy, serialy. Be FRESH!

URL:

http://refresher.sk

Katalog:

Ostatné

Publikuje:

34 položek/den

Peniaze údajne pýtal na investície, stávky aj kúpu auta. Polícia obvinila Imiho Baróna, hrozí mu až 10 rokov

19:24
Influencer známy zo sociálnych sietí podľa polície od viacerých ľudí vylákal peniaze pod zámienkou výhodných investícií či garantovaných výhier.

Gleb pripravuje nadupané EPčko a nám z neho pustil ešte nevydané tracky. Toto o sebe prezradil v jedinečnom rozhovore (OFFSTAGE

18:16
V novej epizóde relácie Offstage sme sa s Glebom privítali priamo v Bratislave, meste, ktoré je s jeho hudbou a príbehom neoddeliteľne spojené.

Na stavbe novej nemocnice v Prešove odstránia chybné stĺpy. Fico sľubuje dokončenie už v roku 2027

17:40
Nedostatky na rozostavanej nemocnici podľa ministra obrany zachytil stavebný dozor včas. Premiér tvrdí, že projekt bude pokračovať, od júna ho má stavať nové konzorcium.

Stella študuje v New Yorku. „Keď na ulici stretneš DiCapria, musíš sa tvárit, ako keby nič“

17:40
Stretávať celebrity, vychutnávať si kultúru, obdivovať módu na uliciach alebo študovať na najprestížnejších školách na svete – takto si väčšina z nás predstavuje USA. Stelle sa podarilo všetko toto zažiť. Aké je to žiť americký sen?

Ďalšia záťaž pre podnikateľov: Štát navrhuje neobmedzené dane pre obchody a podnikateľské nehnuteľnosti

17:06
Návrhom je oprávnenie pre obce a mestá stanoviť akúkoľvek bezlimitnú sadzbu dane pre stavby s maloobchodnými prevádzkami nad 500 štvorcových metrov (m2) a pre obchodné domy nad 1500 m2. Legislatívny návrh je v Národnej rade SR už v druhom čítaní.

Ferrari odhalilo svoje prvé elektrické auto. Luxusná novinka za 550-tisíc eur rozdeľuje fanúšikov

17:06
Ferrari vstupuje do sveta elektromobilov. Legendárna talianska automobilka predstavila model Luce, svoj vôbec prvý plne elektrický automobil

AI kamera, šifrovaná komunikácia a obrovská LED stena: Kaliňákova Kukurica má dostať ďalšie vybavenie za státisíce eur

16:31
V suteréne nového sídla ministerstva obrany má vzniknúť rokovacia sála s videostenou, šifrovaným systémom aj kamerou s umelou inteligenciou.

Slovenka Lenka Vacval Poláčková zdolala štvrtú najvyššiu horu sveta. Lhotse vystúpila bez kyslíka

16:31
Slovenská horolezkyňa Lenka Poláčková dosiahla ďalší významný míľnik. Zdolala vrchol štvrtej najvyššej hory sveta Lhotse.

Firmám sa kráti čas na dôležitú povinnosť. Táto chyba môže skomplikovať situáciu ich zamestnancom

15:57
Hoci sa povinnosť predkladať evidenčné listy dôchodkového poistenia od januára zrušila, údaje za staršie obdobie ešte treba doplniť.

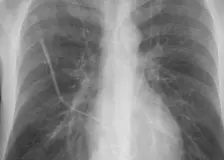
Maťo Homola skončil na JIS-ke. Po bolestiach na hrudi prehovoril o zdravotných problémoch

15:23
Slovenský automobilový pretekár Maťo Homola skončil v nemocnici po náhlych zdravotných komplikáciách. Lekári mu diagnostikovali myokarditídu, teda zápal srdcového svalu.

Skončil si školu a nevieš, čo vybaviť ako prvé? Sociálna poisťovňa vysvetľuje, kedy sa jej musíš ozvať

15:23
Maturanti a absolventi vysokých škôl sa po ukončení štúdia nemusia automaticky registrovať ani platiť sociálne odvody
© 2000-2026 ANNECA s.r.o., Klíšská 977/77, 400 01 Ústí nad Labem, Tel: +420 478571021, Email: info@pravednes.cz, Twitter: @pravednes