15
nových článků - klikněte pro zobrazení

Rehabilitace.info

Popis:

Zdravotní magazín a katalog rehabilitací

URL:

http://www.rehabilitace.info/

Katalog:

Lifestyle → Zdraví

Publikuje:

10,5 položek/týden

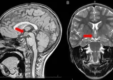
Alexanderova choroba – co je to: příznaky, příčiny a léčba

7:43
Alexanderova choroba je vzácné genetické onemocnění nervového systému, které postihuje bílou hmotu mozku a myelin. Nejčastěji ji způsobuje změna v genu GFAP, která narušuje funkci podpůrných buněk nervové tkáně. Mezi příznaky patří opožděný vývoj, epileptické záchvaty, zvětšený obvod hlavy, poruchy řeči, polykání, koordinace a chůze. Léčba je převážně podpůrná a zaměřuje se na zmírnění příznaků, Continue Reading The post Alexanderova choroba – co je to: příznaky, příčiny a léčba first appeared …

Virus guanarito: příznaky, příčiny a léčba

30.května
Virus Guanarito je vzácný arenavirus, který způsobuje venezuelskou hemoragickou horečku. Přenáší se hlavně kontaktem s hlodavci nebo prostředím kontaminovaným jejich močí, trusem či slinami. Mezi příznaky patří horečka, slabost, bolesti hlavy a svalů, zvracení, krvácivé projevy a u těžkých případů šok nebo selhání orgánů. Léčba je převážně podpůrná a prevence spočívá hlavně v ochraně před Continue Reading The post Virus guanarito: příznaky, příčiny a léčba first appeared on Rehabilitace.info .

Šedá hmota mozková: její funkce a zajímavosti o ní

30.května
Šedá hmota mozková je tvořena především těly nervových buněk a slouží ke zpracování informací v mozku. Podílí se na myšlení, paměti, učení, emocích, řeči, rozhodování i řízení pohybů. Nachází se v mozkové kůře i hlubších strukturách mozku a spolupracuje s bílou hmotou, která zajišťuje přenos nervových signálů. Její zdraví podporuje pravidelný pohyb, kvalitní spánek, mentální Continue Reading The …

PCR test: jak funguje a co ukazuje?

29.května
PCR test je vysoce citlivá laboratorní metoda, která slouží k detekci konkrétního genetického materiálu (DNA nebo RNA). Používá se zejména k diagnostice infekčních onemocnění, genetických poruch a některých typů nádorových onemocnění. Pozitivní výsledek znamená, že byl ve vzorku nalezen hledaný genetický materiál, negativní výsledek jeho přítomnost neprokázal. Mezi hlavní výhody PCR testu patří vysoká přesnost, Continue Reading The post PCR test: jak funguje a co ukazuje? first appeared on Reha…

Aicardi-Goutièresův syndrom: příznaky, příčiny a léčba

28.května
Aicardi-Goutièresův syndrom je vzácné genetické onemocnění postihující mozek, imunitní systém a vývoj dítěte. Typické příznaky zahrnují opožděný vývoj, svalovou ztuhlost, epileptické záchvaty a kožní změny. Příčinou jsou genetické změny vedoucí k nadměrné aktivaci imunitního systému a chronickému zánětu. Léčba je převážně podpůrná a zahrnuje rehabilitaci, léčbu záchvatů a dlouhodobou péči special…

Čím může být způsobeno zpoždění menstruace? Nejčastější příčiny

27.května
Zpoždění menstruace nemusí automaticky znamenat těhotenství — častou příčinou bývá také stres, hormonální výkyvy, nemoc nebo změna životního stylu. Menstruační cyklus mohou ovlivnit rychlé hubnutí, intenzivní sport, hormonální antikoncepce, PCOS nebo poruchy štítné žlázy. Jednorázové zpoždění bývá běžné, ale pokud menstruace chybí opakovaně nebo několik měsíců, je vhodné navštívit gynekologa. Důležité je sledovat další příznaky, Continue Reading The post Čím může být způsobeno zpoždění menstrua…

X-vázaná adrenoleukodystrofie – příznaky, příčiny a léčba

26.května
X-vázaná adrenoleukodystrofie je vzácné dědičné onemocnění, které postihuje nervový systém a nadledviny. Příznaky mohou zahrnovat poruchy chování, zhoršení učení, slabost nohou, potíže s chůzí a únavu. Příčinou je změna v genu ABCD1, která vede k hromadění velmi dlouhých mastných kyselin v těle. Léčba závisí na formě nemoci a může zahrnovat hormonální léčbu, sledování pomocí MRI, Continue Reading The post X-vázaná adrenoleukodystrofie – příznaky, příčiny a léčba first appeared on Rehabilitace.i…

Canavanova choroba: příznaky, příčiny a léčba

26.května
Canavanova choroba je vzácné dědičné onemocnění, které poškozuje bílou hmotu mozku. Vzniká mutací v genu ASPA a vede k poruše myelinu i přenosu nervových signálů. Typicky se projevuje opožděným vývojem, zvětšenou hlavou, poruchami svalového napětí a někdy záchvaty. Léčba je hlavně podpůrná a zahrnuje rehabilitaci, logopedii, nutriční péči a léčbu příznaků. Canavanova choroba je vzácné Continue Reading The post Canavanova choroba: příznaky, příčiny a léčba first appeared on Rehabilitace.info .

Bílá hmota mozková: jaké jsou její funkce a úlohy?

25.května
Bílá hmota mozková propojuje jednotlivé části mozku a umožňuje rychlý přenos nervových signálů. Je tvořena hlavně nervovými vlákny a myelinem, který zrychluje komunikaci mezi neurony. Podílí se na pohybu, řeči, paměti, pozornosti, emocích i rozhodování. Změny bílé hmoty na MRI nemusí být vždy nebezpečné, ale měl by je posoudit lékař. Bílá hmota mozková je jedna Continue Reading The post Bílá hmot…

Jak odbourat stres u dětí: co pomáhá?

25.května
Stres u dětí se často projevuje změnou chování, únavou, podrážděností nebo bolestmi břicha. Nejvíce pomáhá bezpečné prostředí, klidný rodič, pravidelný režim a dostatek spánku. Účinné jsou jednoduché techniky jako hluboké dýchání, pohyb, hra a otevřený rozhovor o emocích. Pokud stres trvá dlouhodobě nebo výrazně ovlivňuje běžný život dítěte, je vhodné vyhledat odbornou pomoc. Stres u Continue Reading The post Jak odbourat stres u dětí: co pomáhá? first appeared on Rehabilitace.info .
© 2000-2026 ANNECA s.r.o., Klíšská 977/77, 400 01 Ústí nad Labem, Tel: +420 478571021, Email: info@pravednes.cz, Twitter: @pravednes