15
nových článků - klikněte pro zobrazení

Rungo.cz

Popis:

Web o běhu založeném na osobním prožitku, příběhu a radosti nejen naší, ale i radosti našich čtenářů.

URL:

http://rungo.idnes.cz/

Katalog:

Sport → Běhání

Publikuje:

8 položek/den

Příčina bolesti zad leží většinou jinde než tam, kde to zrovna bolí, říká fyzioterapeut

15:44
Při posuzování bolestí pohybového aparátu vnímá fyzioterapeut Petr Zahradník vždy „celého“ člověka, včetně jeho psychické pohody. Celostní přístup uplatňuje na obou pražských klinikách, které založil. Podle něj jen málokterá bolest nesouvisí s nastavením mysli. Stres se propisuje do těla a to reaguje třeba zrychleným dýcháním, svalovým napětím a srdeční akcí. Rozhodující ale je, jak dlouho stres …

Tyto hvězdy už otevřeně přiznaly, že zhubly díky injekcím

0:31
Snažily se shodit přebytečná kila cvičením i dietami. Nic z toho ale slavným hvězdám nefungovalo tak dobře jako populární injekce na hubnutí. Tyto VIP otevřeně přiznaly, že s injekcemi mají zkušenost. Někdo dobrou, někdo špatnou. Podívejte se do galerie na osobnosti, které díky Ozempicu zhubly.

Oblékejte se jako šéfka a inspirujte se outfity z filmu Ďábel nosí Pradu

0:31
Správně zvolený outfit dodává jistotu při schůzkách, při práci i ve volném čase, ukazuje, že žena má svůj styl pod kontrolou a přitom se cítí pohodlně a elegantně. Jak na to, vám poradí ty nejpovolanější módní ikony z magazínu Runway.

Žena v noci vdechla piercing, skončil až hluboko v plicích

0:31
Šestadvacetiletá Monica Deyanira Cabrera Barajasová ve spánku vdechla piercing a už nemusela být mezi živými. Piercing skončil pouhého půl milimetru od aorty a hrozilo, že životně důležitou tepnu poruší. „Těšila jsem se na plánování svatby, ale skončila jsem v nemocnici a mohu být ráda, že jsem vůbec živá,“ uvedla.

Slavné maminky na plátně i ve skutečnosti. Zvládnete 20 otázek bez chyby?

0:31
Maminky hrají hlavní roli nejen v našich životech, ale i na filmových plátnech, v literatuře a ve světě slavných osobností. Otestujte si, co všechno víte o ikonických maminkách z pohádek, filmů i skutečného života. Zvládnete plný počet bodů?Vědomostní kvíz o ceny probíhá od neděle 10. května do pondělí 18. května do 10:00. Do slosování o ceny postoupí každý, kdo správně odpoví na více než 80 procent otázek. Výherce vylosujeme v pondělí 18. května ve 12:00. Co můžete vyhrát:2× vůni Betty Barclay…

Zázrak jménem matcha. Zelený prášek vám dodá zdraví v každém doušku

0:31
Zelený prášek, který dobyl svět – to je matcha. Nejde ovšem jen o trend z kaváren, ale rituál s hlubokou historií a překvapivými účinky. Matcha dodá energii, zklidní mysl a promění obyčejný den ve chvíli, kterou si budete chtít vychutnat do posledního doušku.

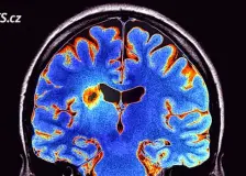
Tinnitus může být silný, nemocní zvažují i sebevraždu. Lék je zvyknout si, říká vědec

20:47
Mozek ho fascinoval už v období dospívání. Právě tehdy se rozhodl, že jeho tajemství zasvětí celý svůj život. „Je to mimořádná struktura, svou složitostí i funkcí. Čím víc jsme o ní věděli, tím víc bylo jasné, kolik toho ještě nevíme. A právě to jsem vnímal jako výzvu,“ říká neurofyziolog Josef Syka. Výzkumu sluchu a sluchového systému mozku se věnuje desítky let a ve světě vědy patří v této obla…

Nuda jako luxus. Našemu mozku prospívá, ale nedostatek podnětů může také uškodit

9.května
V době, kdy si každou volnou vteřinu zaplňujeme notifikacemi a úkoly, působí nuda skoro jako selhání. Jenže právě chvíle nic nedělání jsou pro naši mysl klíčové – pomáhají jí regenerovat, třídit myšlenky a probouzet kreativitu. Možná je čas přestat před nudou utíkat a začít ji vnímat jako luxus, který si (nejen) vaše hlava zaslouží.

Nejlepší matky horoskopu. Která nabízí nejlaskavější náruč, lásku a pochopení

9.května
To, v jakém astrologickém znamení jsme se narodily, utváří i náš přístup k mateřství. Naznačuje styl výchovy, přístup k mateřství obecně a odhaluje naše silné i slabé stránky. Podívejte se, kdo patří mezi nejlepší matky horoskopu a odhalte slabiny, na jejichž překonání se dá ještě zapracovat.

Horoskop pro každé znamení na 20. týden roku 2026

9.května
Máj se nám brzy přehoupne do své druhé poloviny, co nás na tomto přelomu čeká podle hvězd? Býci, ve všech oblastech života zůstáváte ve hře. Jen se naučte odpočívat, třeba o víkendu. Štíři, vaše dny budou ve znamení jistoty. Dobře vyhodnotíte riziko a vyhnete se problémům. Odměňte se za to.

Vysoká citlivost může být darem i prokletím. Máte ji a umíte s ní pracovat?

9.května
Být citlivější není nic neobvyklého. Zvlášť, když se na nás ze všech stran hrnou špatné nebo děsivé zprávy – stačí si jen v televizi pustit zpravodajství. Lidé, kteří jsou hypersenzitivní, trpí ale mnohem víc. Jak je poznat a proč jim to ztrpčuje život?

Když dítě nepřichází. Kdy zpozornět a jak zvýšit šanci na početí

9.května
Neplodnost není problémem jen žen a stále častěji se týká i mladších párů. Lékaři upozorňují, že šance na přirozené početí výrazně ovlivňuje věk, stres, životní styl i skryté zdravotní potíže. Jak poznat, že je čas vyhledat pomoc, a co všechno dnes moderní medicína nabízí?

Herečky, které před kamerou ztvárnily role mrch

9.května
Jednu z nejikoničtějších mrch ztvárnila bez pochyb herečka Joan Collinsová v seriálu Dynastie. Zdaleka ale nebyla jedinou zápornou postavou. Podívejte se do naší galerie na herečky, které ve filmech nebo seriálech ztvárnily mrchy, na které se jen tak nedá zapomenout.

Nový objev imunologů. Přidal do skládačky další dílek, líčí docent Dobeš

8.května
„Věda je vlastně taková velká a trochu drahá křížovka. Skládáte dohromady dílky, které do sebe někdy nezapadají, hledáte vzorec, řešíte rébus. A pak přijde ta chvíle, kdy si řeknete: ,Teď už asi tuším, jak to funguje.’ A to je pak hezký pocit,“ říká imunolog Jan Dobeš. Sám v laboratoři něco podobného zažil poměrně nedávno, když objevil nový speciální typ imunitních buněk.

Jak znovu usnout po probuzení mezi 2. a 3. hodinou ráno? Hlavní je nedělat dvě věci

8.května
Ležíte, zíráte do stropu a přestože za sebou máte jen pár hodin spánku, znovu ne a ne usnout. Proč se vaše tělo zrovna uprostřed noci rozhodlo, že spánek je zbytečný luxus? Za pravidelným buzením mezi druhou a třetí ráno stojí často stres, ale i chemické procesy, které v těle probíhají. Co se s vámi v tuto kritickou hodinu děje a jak účinně přemluvit mozek, aby vás nechal zase v klidu usnout?
© 2000-2026 ANNECA s.r.o., Klíšská 977/77, 400 01 Ústí nad Labem, Tel: +420 478571021, Email: info@pravednes.cz, Twitter: @pravednes